Interventie chirurgicala speciala de protezare a genunchiului cu pseudartroza de tibie proximala cu endoproteza necimentata de revizie

Interventie chirurgicala speciala de protezare a genunchiului cu pseudartroza de tibie proximala cu endoproteza necimentata de revizie

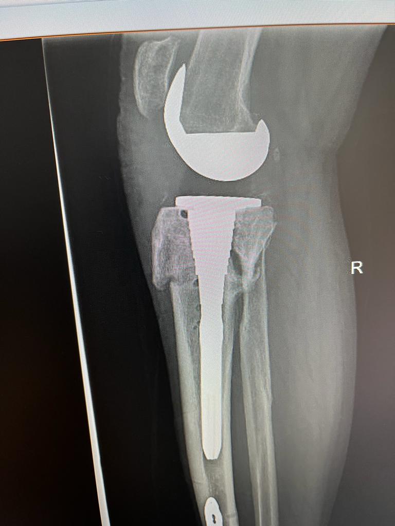
In cadrul sectiei de ORTOPEDIE – TRAUMATOLOGIE, s-a realizat cu succes o interventie chirurgicala cu grad ridicat de dificultate, la un pacient in varsta de 53 ani, care a suferit în urma cu aproximativ opt luni o fractura cominutiva bituberozitara de platou tibial cu intarziere în consolidare vicioasa.

 

In cele opt luni, genunchiul pacientului s-a deformat progresiv, materialul de osteosinteza a migrat generand dureri continue pacientului iar mersul fiind posibil doar cu cadru.

In acest context, deformarea severa a tibiei si calitatea slaba a calusului osos impuneau o interventie chirurgicala de protezare a genunchiului cu endoproteza de revizie. Aceasta a fost efectuata de catre echipa medicala condusa de dr. CHIREA MARIUS, medic primar ORTOPEDIE-TRAUMATOLOGIE.

Dr. CHIREA MARIUS, medic primar ORTOPEDIE-TRAUMATOLOGIE, Spitalul Pelican Oradea:

„Tinand cont de varsta tanara a pacientului,  am optat la o versiune necimentata a endoprotezei și augmentarea la nivelul tibiei proximale (unde prezenta intarziere in consolidare si stoc osos precar) cu un con metalic Porocoat  pentru a facilita si stimula osteoinductia. De asemenea, femurul si tija centromedulara tibiala care preia tensiunile din genunchi sunt necimentata. Acest dispozitiv protetic ne-a fost adus special pentru acest caz de firma Johnson and Johnson careia ii mulțumim. Totodata multumim si echipei operatorii și colegilor anesteziști”.

Rezultatul postoperator a fost un succes, s-a reusit alinierea genunchiului, dr. CHIREA MARIUS, medic primar ORTOPEDIE-TRAUMATOLOGIE obtinand o proteza necimentat primara stabila si cu mobilitate maxima.

In perioada următoare pacientul va urma procedurile de recuperare medicala iar sprijinul se va realiza progresiv pe masura ce proteza se va integra in os.

Reamintim ca in cadrul clinicii de ORTOPEDIE – TRAUMATOLOGIE, medicii nostri supraspecializati efectueaza cu succes zilnic interventii chirurgicale de mare finete si cu grad ridicat de dificultate, de care beneficiaza pacienti din toata tara si din strainatate.

INFORMATII SI PROGRAMARI:

Pentru a beneficia de servicii medicale la SPITALUL CLINIC PELICAN Oradea, va puteti programa astfel:
• online, pe site-ul SPITALULUI CLINIC PELICAN Oradea (www.spitalpelican.ro), la sectiunea „Programari online” si veti fi contactat in cel mai scurt timp pentru stabilirea datei la care doriti sa beneficiati de serviciile medicale dorite
• email: callcenter@spitalpelican.ro si veti fi contactat in cel mai scurt timp pentru stabilirea datei la care doriti sa beneficiati de serviciile medicale dorite
• telefonic, la Call Center 0259.444444, cu timp de asteptare (cateva minute)
Ambulanta Pelican poate fi solicitata la numarul de telefon direct: 0259.962.